آناتومی و فیزیولوژی

دستگاه ادراری​

Urinary system
آناتومی
دستگاه ادراری

دستگاه ادراری شامل قسمت های اصلی زیر است:

  • کلیه ها Kidneys
  • حالبها Ureters
  • مثانه Bladder
  • پیشابراه Urethra
دستگاه ادراری

کلیه ها

در بزرگسالان کلیه ها یک جفت عضو (لوبیایی شکل) به رنگ قهوه ای تیره می باشند که در قسمت خلفی پرده صفاق(در پشت و خارج حفره پریتون) واقع در دیواره خلفی شکم و در فاصله بین مهره دوازدهم توراکس تا مهره سوم کمر، قرار گرفته اند.در بالغین وزن کلیه، بطور متوسط تقریبا ۱۱۳ تا ۱۷۰ گرم و طول آن حدود ۱۰ تا ۱۲ سانتی متر و پهنای آن ۶ سانتی متر و ضخامت آن حدود ۲/۵ سانتی متر می باشد.

غده آدرنال(adernel gland) نیز بر روی هر کلیه قرار گرفته و از لحاظ عملکرد، خونرسانی و عصب دهی، کاملا مستقل از کلیه ها عمل می کنند.

ساختمان کلیه

ساختمان کلیه

هر کلیه به سه بخش عمده تقسیم شده است:

بخش قشری در زیر کپسول فیبری قرار گرفته ، بخشهایی از آن تا لایه مرکزی مدولا ادامه دارند. 

اجزای مدولا

اجزای مدولا
اجزای مدولا

نفرون:

ساختمان نفرون:

(کپسول گلومرولی)

نفرون

گردش خون کلیه ها

شریان لوبار                                ورید کلیوی

 شریان بین لوبی                         وریدهای قوسی

شریانهای قوسی                          وریدهای بین لوبولی

شریانهای بین لوبولی                   وازا رکتا 

شریانچه آوران                             مویرگهای دور لوله ای

گلومرولوس                               شریانچه وابران    

گردش خون در کلیه
گردش خون در کلیه

حالبها

در سه نقطه احتمال بیشتری برای انسداد  وجود دارد:

گردش خون در کلیه
گردش خون در کلیه
گردش خون در کلیه
گردش خون در کلیه

مثانه

گردش خون در کلیه

لایه های تشکیل دهنده دیواره مثانه

لایه های تشکیل دهنده دیواره مثانه

پیشابراه

پیشابراه
پیشابراه

فیزیولوژی دستگاه ادراری

کلیه ها

نفرون ها

نفرون ها از دو بخش تشکیل می شوند

نفرون ها

گلومرول و توبولها

تقریبا ۶۰% وزن بدن انسان را در حالت طبیعی، آب تشکیل می دهد. تعادل آب توسط کلیه ها تنظیم می گردد و در نتیجه ادرار، تشکیل می شود. ادرار در طی سه پروسه پیچیده زیر در نفرون تشکیل می شود:

فیلتراسیون گلومرولی

عملکرد کلیه​

عملکرد کلیه
عملکرد کلیه

ترشح مواد زاید

کلیه به عنوان یک ارگان اساسی دفعی در بدن عمل می کند، اصلی ترین مواد زاید دفعی حاصل از متابولیسم پروتئین ها، اوره(urea) نام دارد که به حدود ۲۵ تا ۳۰ گرم از این ماده روزانه در بدن تولید و ترشح می گردد. تمامی این مقدار اوره از طریق ادرار دفع می شود. مواد زاید ناشی از متابولیسیم بدن که از طریق ادرار دفع می شوند عبارتند از: کراتینین، فسفاتها و سولفاتها و اسید اوریک(uric acid)

سدیم

فراوانترین یون  خارج سلولی است.

نقش مهمی در کنترل تعادل آب و الکترولیتها بر عهده دارد.

تنظیم میزان دفع سدیم بستگی به آلدسترون دارد و این هورمون در بخش کورتکس آدرنال سنتز و از همانجا آزاد می گردد. آزاد شدن آلدسترون به میزان زیادی تحت کنترل آنژیوتانسین ۲ می باشد. سطح آنژیوتانسین ۲ نیز بوسیله رنین که از سلولهای تخصص یافته کلیه ها ترشح می شود، کنترل می گردد. 

پتاسیم

فراوانترین یون داخل سلولی است.

جهت حفظ تعادل طبیعی پتاسیم در بدن، کلیه ها مسئول دفع بیش از ۹۰% کل پتاسیم مصرفی روزانه می باشند.

احتباس پتاسیم خطرناکترین عارضه نارسائی کلیه است.

تنظیم تعادل اسید و باز

حد طبیعی PHسرم ۷/۳۵تا ۷/۴۵می باشد

 کلیه از دو طریق این تعادل را حفظ می کند

جذب(از طریق مایعات حدود 1300ml و از طریق غذا حدود 1000ml)

دفع(از طریق پوست و ریه حدود 900ml و از طریق عرق بدن حدود 50ml و از طریق مدفوع حدود 200ml)

میزان دفع کلیه = تفاضل بین میزان جذب و میزان دفع 

تنظیم دفع الکترولیت ها

زمانی که کلیه ها عملکرد طبیعی داشته باشند می توان گفت حجم روزانه دفع الکترولیت ها برابر با حجم الکترولیت های مصرف شده می باشد.

خود تنظیمی فشار خون

کلیرانس کلیوی

(Glomerular Filtration Rate)

تنظیم تولید سلولهای قرمز خون

زمانی که کلیه ها با کاهش فشار اکسیژن در جریان خون کلیوی مواجه می شوند، اریتروپوئیتین آزاد می کنند. اریتروپوئیتین موجب تحریک مغز استخوان و تولید سلولهای قرمز خونی و همچنین افزایش هموگلوبین جهت انتقال اکسیژن می شود.

فعال کردن ویتامینD

کلیه ها مسئول تبدیل ویتامینD غیر فعال به فرم فعال آن یعنی ۱و۲۵ دهیدروکسی کوله کلسیفرول، نیز می باشند. ویتامین Dبرای حفظ تعادل طبیعی کلسیم در بدن ضروری است.

ترشح پروستاگلاندین

کلیه ها تولید پروگلاندینE (prostaglandin E)و پروستاسیکلین(prosta cyclin) را نیز بر عهده دارند که این آنزیم ها اثر متسع کنندگی عروقی داشته و برای حفظ جریان خون کلیه بسیار مهم می باشند.

عملکرد مثانه

مثانه مخزن ادرار است. خالی و پر شدن مثانه، هر دو تحت تاثیر مشارکت مکانیسم های کنترلی سیستم اعصاب سمپاتیک و پاراسمپاتیک می باشند که عضلات دترسور و سوراخ خروجی مثانه را عصب دهی می نمایند. آگاهی از پر بودن مثانه تحت تاثیر تکامل اعصاب سمپاتیک می باشد که این اعصاب از طریق نخاعی، واقع در مهره T10 تا  T12 اجازه پر شدن مثانه را صادر می کنند.

زمانی که پر شدن مثانه ادامه می یابد، گیرنده های داخل دیواره مثانه کشیده و فعال می شوند و احساس دفع ایجاد می گردد.

 

عملکرد مثانه

این اطلاعات از عضله دترسور از طریق اعصاب پاراسمپاتیک لگنی بین مهره S1 تا S4 به پشت مناطق قشری مخ منتقل می شوند.این اطلاعات مثانه را جهت منقبض شدن تحریک می نماید که این انقباض نیز به نوبه خود سبب شل شدن کامل اسفنگتر مخطط پیشابراه می شود. به هر حال با تغییر در حجم ادرار فشار مثانه به علت قابلیت این کیسه در اتساع پذیری (collapse) در حد پایین باقی می ماند

احساس پری: ۱۵۰ تا ۲۰۰ میلی لیتر

احساس نیاز به دفع:بین ۳۰۰ تا ۵۰۰ میلی لیتر(ظرفیت عملکردی مثانه)

در شب هورمون وازوپرسین که در اثر پاسخ به کاهش مایعات است سبب کاهش تولید ادرار و تغلیظ بیشتر آن می شود

عملکرد مثانه

بیماری های دستگاه کلیه و دستگاه ادراری

سندرم نفریتیک

سندروم نفریتیک

تظاهرات بالینی:

تظاهرات بالینی

یافته های تشخیصی:

درمان طبی:

درمان بطور اولیه شامل درمان علایم، تلاش در جهت حفظ عملکرد کلیوی و درمان فوری عوارض می باشد.

سندرم نفروتیک

یک  نوع نارسایی کلیه است که به علت افزایش نفوذپذیری مویرگها و با پروتئینوری وسیع مشخص می شود.

۱- افزایش قابل توجه پروتئین خصوصا آلبومین در ادرار (پروتئینوری)

۲- کاهش آلبومین خون(هیپو آلبومینمی)

۳- ادم منتشره

۴- افزایش سطح کلسترول سرم و افزایش سطح لیپوپروتئین با دانسیته پائین(LDL)

۵- این سندرم زمانی ایجاد می شود که آسیب شدید به مویرگهای گلومرول وارد آمده و موجب افزایش نفوذپذیری گلومرولی نسبت به پروتئین پلاسما گردد.

کبد قادر به مقابله با آن میزان از آلبومین که  از طریق کلیه دفع می گردد، نمی باشد لذا بدین ترتیب هیپوآلبومینمی اتفاق می افتد

تظاهرات بالینی:

ادم علامت اصلی سندرم نفروتیک است و معمولا نرم و گودگذار بوده و اغلب اطراف چشم (periorbital) و مناطق خارجی، ساق پا، دستها و شکم(آسیت) دیده می شود.

همچنین ممکن است بیمار دچار بیحای، سردرد، تحریک پذیری و خستگی باشد.

 
تظاهرات بالینی
عوارض:
درمان طبی:

درمان بر سه هدف اصلی است

۱- درمان بیماری زمینه ای بوجود آورنده پروتئینوری

۲- کاهش سیر پیشرفت بیماری

۳- تسکین نشانه ها

درمان معمول شامل استفاده دیوریتیکها برای برطرف کردن ادم، مهارکننده های ACE برای کاهش پروتئینوری و کاهنده های چربی برای کاهش هیپرلیپیدمی است.

نارسایی حاد کلیه

این بیماری(ARF)  یک سندرم کلینیکی قابل برگشت است که در آن عملکرد کلیوی بطور ناگهان و تقریبا کامل در طول چند ساعت تا چند روز مختل می گردد. در این حالت، نارسایی در دفع مواد زاید نیتروژن دار و عدم تعادل آب و الکترولیتها ایجاد می گردد.

نارسایی حاد
تغییرات احتمالی در ادرار:
علل ARF:
علل ARF به سه دسته کلی تقسیم می شوند:
علل arf
مراحل نارسایی کلیه:
تظاهرات بالینی:
درمان داروئی:
تغذیه درمانی:

غذاهای پرکربوهیدرات، نیازهای کالریک برآورده شود زیرا کربوهیدرات، موجب حفظ پروتئین می گردد.

غذاها و مایعاتی که حاوی پتاسیم یا فسفر هستند، نظیر موز، میوه های ترش و قهوه باید محدود شوند.

پس از مرحله دیورز، برای بیمار رژیم غذایی پر پروتئین و پرکالری تجویز و تشوق می شود که فعالیت خود را بتدریج از سر بگیرد.

درمانهای حمایتی:

ارتقاء عملکرد تنفسی، پیشگیری از عفونت، مراقبت از پوست و حمایت روانی

نارسایی مزمن کلیه (Chronic Renal Failure)

این بیماری به آسیب کلیوی یا کاهش میزان فیلتراسیون گلومرولی(GFR) برای ۳ ماه یا بیشتر گفته می شود. در صورت عدم درمان، این بیماری منجر به اختلال پیشرونده و برگشت ناپذیر عملکرد کلیوی (end-stage renal disease) می شود بطوریکه توده کلیوی باقی مانده دیگر قادر به حفظ محیط داخلی بدن نیست.

دلایل CRF :
علایم بالینی:
ارزیابی تشخیصی:
درمان
عفونتهای دستگاه ادراری

عفونتهای دستگاه ادراری (UTI) در اثر میکروارگانیسم های بیماری زا در مجاری ادراری ایجادمی شود.

انواع عفونتهای دستگاه ادراری:
۱- عفونتهای فوقانی:

شامل پیلونفریت، آبسه کلیوی، نفریت بینابینی و آبسه حول کلیوی

۲- عفونتهای تحتانی:

شامل سیستیت، پروستاتیت و اورتریت

علل عفونت:
پیلونفریت pyelonephritis

این بیماری، عفونت باکتریال لگنچه، توبولها و بافت بینابینی (توبولوانترستیشیال) یک یا هر دو کلیه است. اکثر عفونتها ناشی از گسترش فرآیندهای عفونی واقع در یک مکان دیگر می باشند. باکتریها عمدتاً از طریق بالا رونده ازحالب به کلیه میروند. باکتری از طریق پیشابراه به مثانه می رسد و از آنجا به کلیه صعود می کند و یا از طریق جریان خون به کلیه ها راه می یابند.

عوامل:

سیستیت مزمن، دیابت، بیماری پرفشاری خون، تومورهای مثانه، تنگی ها و اختلالات ساختمانی دستگاه ادراری، هیپر پلازی خوش خیم پروستات و سنگ های ادراری از علل انسداد و در نهایت عفونت می باشند

انواع پیلونفریت

پیلونفریت حاد

بیماران با این بیماری شدیداً بیمار بوده و اغلب دچار تب، لرز، باکتریوری، پیوری، درد پشت، درد ناحیه پهلو، تهوع، استفراق، سردرد، خستگی، و دفع ادرار دردناک می باشند.

تشخیص:
 درمان داروئی:

بیماران با این بیماری بدون عوارض بیمار سرپایی محسوب شده و باید حداقل دو هفته در مقابل مصرف صحیح داروها(آنتی بیوتیک درمانی) مسئولیت پذیر باشند

زنان باردار باید ۲ تا ۳ روز جهت درمان با آنتی بیوتیک های تزریقی در بیمارستان بستری شوند

پس از شروع آنتی بیوتیک درمانی در صورتی که شواهد عود عفونت وجود داشته باشد بیمار ممکن است تا ۶ هفته به درمان ضد میکروبی نیاز داشته باشد

پیلونفریت مزمن

بیماران با این بیماری معمولا نشانه های عفونت را ندارند مگر اینکه دوره حادی از بیماری تشدید شود

نشانه ها:

خستگی، سردرد، بی اشتهایی، پرادراری، تشنگی زیاد و کاهش وزن

تشخیص:

اوروگرام داخل وریدی و اندازه گیری کلیرانس کراتنین و کراتنین سرم(برای تعیین وسعت بیماری)

درمان:

استفاده طولانی مدت از داروهای آنتی میکروبیال جهت پیشگیری ممکن است از عود عفونت و ایجاد اسکار کلیه جلوگیری کند

سیستیت

التهاب و عفونت مثانه در اثر میکروارگانیسم های بیماریزا را می گویند

 تظاهرات بالینی:
تشخیص:
تشخیص:

آنتی بیوتیک : فلوروکینولونها نظیر سیپروفلوکساسین، جمی فلوکساسین و اوفلوکساسین و در صورت عدم پاسخ از سفالوسپورین های نسل سوم و سایر داروهای قویتر استفادسنگهای ادراریه می شود.

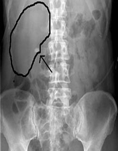
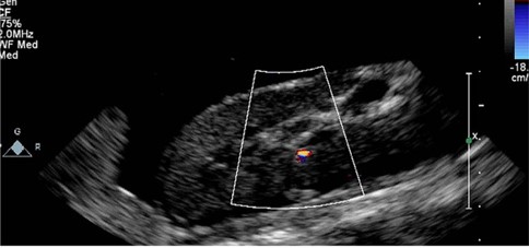
سنگهای ادراری

شامل:  اورولیتیازیس(سنگ های مجاری ادراری) و نفرولیتیازیس(سنگ های کلیوی) می شوند.

سنگ های ادراری

اتیولوژی: عفونت، جسم خارجی، عدم تخلیه طبیعی مثانه، انسداد درون مجاری ادراری

عوامل خطر: موادی که موجب اشباع یا استاز ادرار شوند – عدم تحرک، دزهیدراتاسیون، سابقه سنگ ادراری، انسدادخروجی مثانه، مثانه نوروژنیک، سونداژ به مدت طولانی – نقایص آناتومیکی مانند بیماری کلیه های پلی کیستیک، کلیه ی نعل اسبی – استفاده از برخی داروها مانند آنتی اسیدها، استازولامیدها، ویتامین D، ملین ها و دوزها بالای آسپیرین

در هر حالب سه تنگی وجود دارد:

این سه ناحیه از حالب مستعد انسداد یا خراش توسط سنگهای کلیه هستند.

تظاهرات بالینی:
یافته های تشخیصی:
تشخیص نهایی با:
سونوگرافی
سونوگرافی
رادیولوژیک
رادیولوژیک
 درمان:

هدف از بین بردن سنگها و تعیین نوع سنگ و پیشگیری از تخریب نفرون ها و کنترل عفونت و از بین بردن انسداد است

هدف فوری از درمان کولیک کلیوی یا میزنای تسکین درد تا برطرف شدن علت می باشد

تجویز داروهای مخدر برای جلوگیری از شوک و سنکوپ بعلت درد شدید

حمام داغ یا استفاده از گرمای مرطوب روی ناحیه پهلو می تواند در عبور سنگ موثر باشد

انواع سنگها و تغذیه درمانی آنها:

سنگهای کلسیمی{مصرف مایعات زیاد و محدودیت پروتئین و کلسیم}

سنگ های اسید اوریکی{رژیم غذایی کم پروتئین}

سنگ های سیستئینی{رژیم غذایی کم پروتئن و قلیایی بودن ادرار لازم است}

سنگ های اگزالاتی{ادرار باید رقیق شود و مصرف اگزالات کاهش یابد}

درمان جراحی:
سرطان کلیه

۲% کل سرطانهای بالغین

تومورهای کلیوی خوش خیم نادر است

اکثراً بدخیم و در ۹۰% موارد آدنوکارسینوم است

این تومورها بطور اولیه به ریه ها، استخوان، کبد، مغز و کلیه طرف مقابل متاستاز می دهند.

سرطان کلیه
عوامل خطر:
تظاهرات بالینی:
بررسی و یافته های تشخیصی:
درمان طبی:
درمان جراحی:
نارسایی حاد کلیوی
Acute Renal Failure

Acute Kidney Injury
تعریف : sudden interruption of renal function                   کاهش ناگهانی میزان GFR

 

در صورت عدم درمان تبدیل crf می شود.
علل :